2025年11月28日
今回の症例は、以前他院で施術された根管治療とそれによる前歯の変色による審美障害でお悩みの患者様の治療です。
今回は、再根管治療、ホワイトニング、セラミック治療を併用した症例となります。
過去の治療痕を目立たない様に美しく再治療し、患者様の希望する白くて自然な仕上がりにするのが今回の大きなポイントです。
皆様も、昔に治療を受けた箇所が古くなって見栄えが悪くなり気になっている方はいませんか?
そのような方の参考になれば幸いです。症例集では治療に関する内容や費用、治療期間についてなるべくわかりやすくお伝えできるようにしています。ぜひ最後までご覧ください。

症例の情報
患者様の基本情報:


41歳 女性
全身疾患や生活習慣に特に異常な所見はありません。
初診時からの概要:
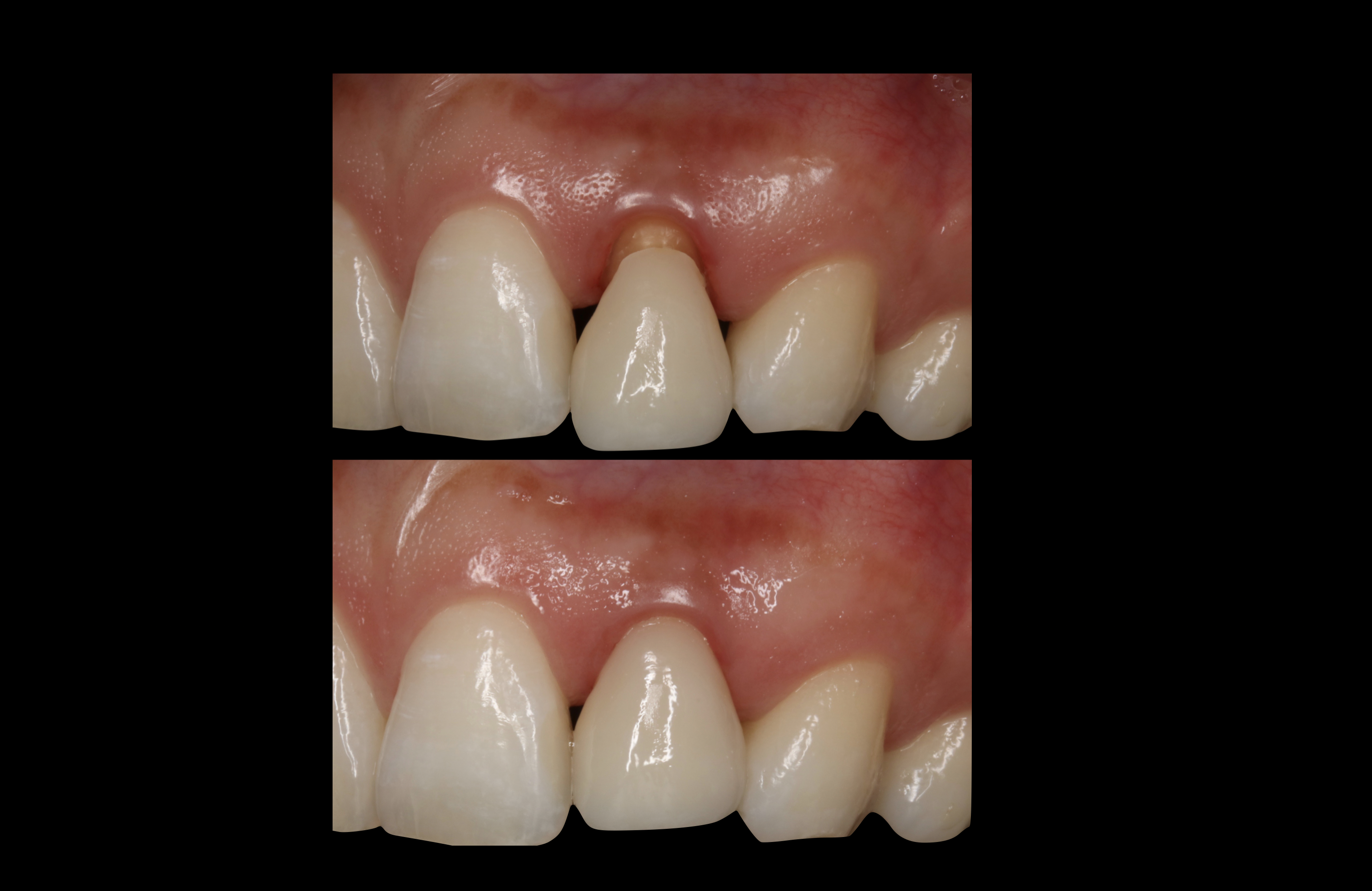
患者様は、左上の前歯の変色を主訴に当院受診されました。歯科的既往歴として、10代の頃に矯正を経験されています。
また、左上の前歯は10年前に感染根管治療されています。
診断結果:
診断を行ったところ、左上前歯は根尖性歯周炎と判断し、まずは根管治療を行います。
根管治療を行った歯は、歯の神経がなくなった(失活した)ことが原因で変色していると判断しました。


治療計画と治療内容
治療計画
まずは治療計画を立てる上で、患者様に希望する歯の見た目についてしっかりヒアリングをさせていただきました。
今回の前歯の治療に対する希望については下記の通りです。
①治療した箇所がわからないような自然な感じで仕上げて欲しい。
②今よりも白い歯にしたい
上記の患者様の希望をお伺いして、今回ご提案させていただいた治療計画は
①前歯のホワイトニング(※ウォーキングブリーチ)
②変色歯はe.max(二ケイ酸リチウムガラスセラミック)によるセラミック治療
※ウォーキングブリーチ(失活歯漂白)は、神経を取った歯の内部に薬剤を入れて白くする方法で、
1本の変色歯に対してとても有効です。
変色した歯のホワイトニングを事前に行うことで、今よりも土台の色調が明るくなり綺麗な被せ物を目指せます。
また根尖病変再発のリスクを最小限にするため、元の噛み合わせを変えないように被せ物を装着することにしました。
一つの歯だけをセラミック治療にで自然な仕上がりにするのはとても難しいケースのためe.maxという被せ物で対応
することにしました。
治療内容の詳細
まずは歯科医院で行うウォーキングブリーチを行いました。2回繰り返し行い、白くすることができました。
そして前歯のセラミック治療については、あらかじめプロビジョナルレストレーションという仮歯を装着し、歯の形
に違和感等ないか確認をしてから最終的にセラミックスの被せ物を作製しました。
治療のステップの詳細

支台歯形成といって被せ物を入れるために歯を削って形を整えています。


治療期間
約4ヶ月(治療期間は口腔内の状態によって大きく異なります。治療期間は想定より長くなる場合もあります。)

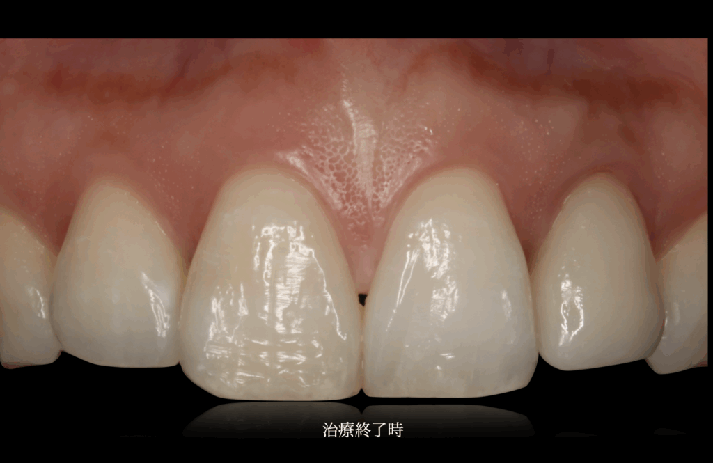
治療後の状態
治療後の口腔内



治療前の状態に比べて、治療した箇所がわからないような自然な仕上がりにすることができました。 患者様にも大変満足していただくことができました。 今後は、ご自宅での歯磨きなどのセルフケアや、就寝時にはセラミック破折予防のためナイトガードを装着していただき、定期的に当院でメインテナンスを行っていく予定です。
注)治療の副作用について
ウォーキングブリーチは術前に根尖病変がある、根管充填が不十分などの場合は根管治療の見直しが必要です。
リスクを理解した上で、回数・濃度を管理すれば、審美的な改善効果の高い治療です。
セラミック治療では、術後に歯がしみる症状や、夜間の歯軋り、食いしばりなどにより破折する可能性があります。
夜間の歯軋りや食いしばりにはナイトガードを使用することで予防することができます。

自然で美しいスマイルになりました。

治療費用について
治療にかかった費用の内訳
【ウォーキングブリーチ】
1回目 ¥22,000(税込) 2回目 ¥5,500(税込)
【プロビジョナルレストレーション1歯 ¥5,500(税込)
【レイヤリングセラミッククラウン(e.max)】
1歯 ¥165,000(税込)
【総額】
¥198,000(税込)