症例2 入れ歯に限界を感じた患者様がインプラント治療を決断した理由|糟屋郡新宮町の歯医者・歯科医院|SHINデンタルオフィス新宮中央駅前

〒811-0120福岡県糟屋郡新宮町中央駅前1丁目1-23

092-405-5122

24時間受付中
WEB予約
歯並びのご相談受付中
矯正歯科相談はこちら
下層メインビジュアル

症例2 入れ歯に限界を感じた患者様がインプラント治療を決断した理由

症例2 入れ歯に限界を感じた患者様がインプラント治療を決断した理由|糟屋郡新宮町の歯医者・歯科医院|SHINデンタルオフィス新宮中央駅前

2026年1月02日

今回ご紹介する症例は、他の部位にはすでにインプラントが入っている一方で、右下には入れ歯が入っていた患者様の治療例です。
インプラントと入れ歯が混在した状態は、一見問題なく過ごせているように見えても、
長期的には噛み合わせのバランスが崩れ、周囲の歯や被せ物に負担がかかることがあります。
今回は、そうした将来的なリスクを踏まえ、
右下に3本のインプラント治療を行い、口腔内全体の安定を図った症例となります。

「入れ歯に大きな不満はないけれど、このままでいいのか不安」
「インプラントと入れ歯が混在している」

そのような方の参考になれば幸いです。
症例集では、治療内容・治療期間・費用についても、できる限りわかりやすくお伝えしています。
ぜひ最後までご覧ください。

症例の情報

患者様の基本情報:

60歳 女性
全身疾患や生活習慣に特に異常な所見はありません。

初診時の状態と主訴:
患者様は、
「右下の入れ歯と、すでに入っているインプラントとの噛み合わせが気になる」
というお悩みで当院を受診されました。

歯科的既往として、
• 他院にて複数本のインプラント治療歴あり
• 右下臼歯部は部分入れ歯を使用中
という状況でした。
日常生活に大きな支障はないものの、噛み心地の違和感や将来的な不安を感じていらっしゃいました。

診断結果:
診査・診断の結果、右下の入れ歯部位は、入れ歯自体に大きな不具合はないものの、
• 噛む力が十分に伝わらない
• インプラントが入っている反対側との噛み合わせの差
• 残っている歯や被せ物への負担
といった問題が生じやすい状態であると判断しました。

特に、インプラントと入れ歯が混在している口腔内では、長期的にみて噛み合わせ全体が不安定になりやすく、
周囲の歯が壊れてしまうリスクが高くなります。

治療計画と治療内容

治療計画を立てるにあたり、患者様に現在のお悩みや、将来的な希望について丁寧にお伺いしました。
患者様のご希望
1. しっかり噛める状態にしたい
2. 入れ歯ではなく、できれば固定式の治療にしたい
3. 今後、他の歯をできるだけ長持ちさせたい
これらを踏まえ、以下の治療計画をご提案しました。

治療計画

右下臼歯部にインプラント3本を埋入
・既存のインプラントや噛み合わせとの調和を考慮した補綴設計
・口腔内全体のバランスを重視した治療
入れ歯を作り直すという選択肢も含めて説明しましたが、長期的な安定性と、他の歯を守ることを優先し、
インプラント治療を選択されました。

治療内容の詳細(当院のインプラント治療の考え方)

当院では、インプラント治療を行う前にCT撮影と精密検査を行い、
シムプラントという専用のシミュレーションソフトを用いて、事前に綿密な治療計画を立てています。

インプラント治療というと
「骨があるところにインプラントを入れる」というイメージを持たれる方も多いかもしれません。

しかし、従来のように外科処置を優先してインプラントを入れる位置を決めてしまうと、
その上に入る被せ物の形が不自然になり、
・汚れがたまりやすい
・歯磨きがしにくい
といった問題が起こることがあります。
これは、将来的にインプラント周囲炎(インプラントの歯周病)を引き起こす原因にもなります。

「噛みやすさ」と「清掃性」を重視した補綴主導の治療計画

当院の院長は、歯周病治療とデジタル歯科治療の両方の認定医を取得しており、インプラントを「入れること」だけでなく、長く快適に使い続けることを重視した治療を行っています。
そのため当院では、
• CTによる骨の状態の把握
口腔内スキャナーによる歯並び・噛み合わせのデータ
• シムプラントによる立体的なシミュレーション
これらを組み合わせ、「最終的に入る被せ物から逆算して」インプラントの位置を決める
いわゆる 補綴主導のインプラント治療を行っています。

今回の患者様の場合、事前にシミュレーションを行った結果、骨を増やす処置(骨造成)を行わなくても、理想的な位置にインプラントを入れられると判断しました。
これは、治療期間や費用、身体への負担を抑えることにもつながります。

設計通りに入れるための「サージカルガイド」

インプラントの埋入は、感覚に頼るフリーハンドではなく、事前に設計した位置・角度・深さを正確に再現するための「サージカルガイド」を使用しています。

これにより、
・安全性
・正確性
・治療の再現性
を高め、より安心して治療を受けていただける体制を整えています。

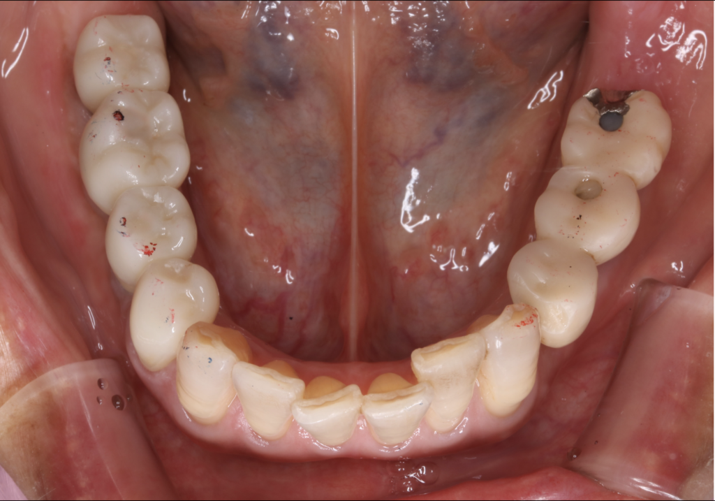
綺麗にインプラントを埋入することができました。
また、手術直後の痛みもほとんどなく痛み止めを一回飲めば済むくらいでした。

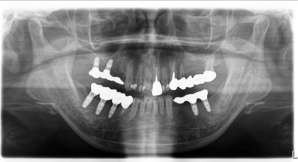
手術後のレントゲン写真です。
サージカルガイドを用いたおかげでシミュレーション通りの位置にインプラントがあります。
矢印のように根が彎曲し近接している場合でも正確な位置に埋入するすることが可能です。

負担の少ない型取りと、取り外し可能な被せ物

インプラント埋入後は、約3ヶ月の治癒期間を待ち、口腔内スキャナーを使用して被せ物の型取りを行いました。従来のようなシリコンによる型取りと違い、
・お口の中に材料を入れ続ける必要がない
・嘔吐反射が起こりにくい
など、患者様の負担が少ない方法です。

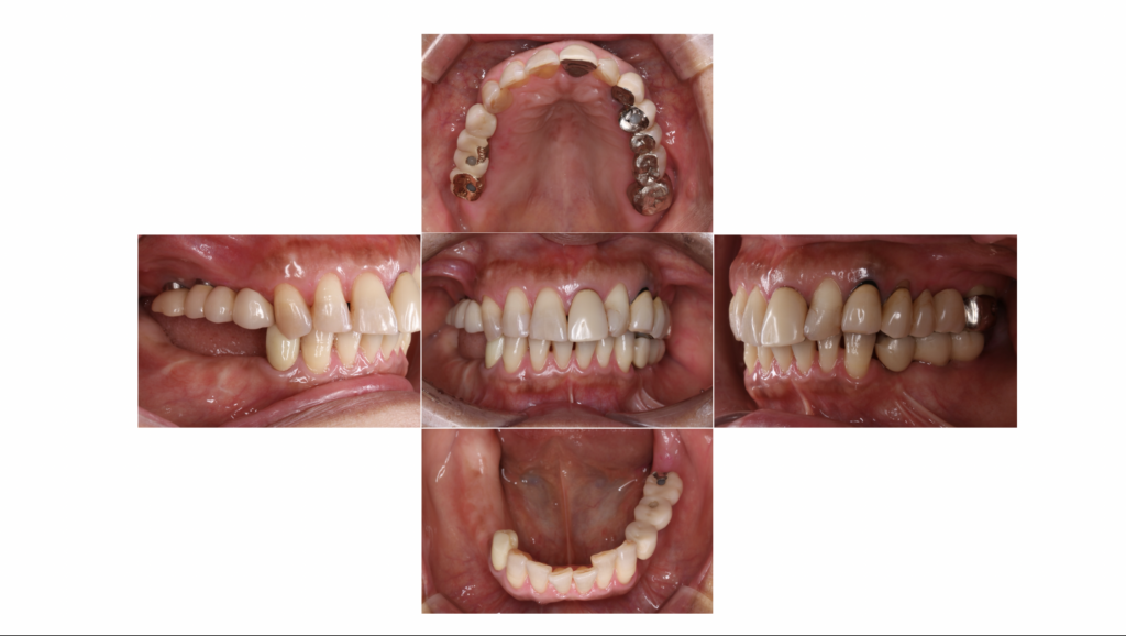
被せ物はデジタル上で精密に設計し、スクリュー固定式の被せ物を装着しました。

スクリュー固定式は、必要に応じて医院側で取り外しが可能なため、
セメントの取り残しによるインプラント周囲炎のリスクを低減できるメリットがあります。


治療後のご感想と、インプラント治療のタイミングについて

治療後、患者様からは
「とても快適です」「もっと早くやればよかった」というお言葉をいただきました。
インプラント治療は、歯を失ってから時間が経つほど骨が減り、治療が複雑になりやすい治療です。
後から治療を行う場合、骨を作る処置が必要になり、
結果的に治療期間や費用の負担が大きくなることもあります。

「今すぐ治療が必要かわからない」
そのような段階でも構いません。
気になることがあれば、早めに歯科医院で相談することが、将来の選択肢を広げることにつながります。

治療費用について

治療にかかった費用の内訳

【CT撮影・診断料】
¥22,000(税込)
【サージカルガイド(3H)】
¥66,000(税込)
【インプラント本体(1次手術代+インプラント体1本+※10年保証)】
1本 ¥275,000×3本=¥825,000(税込)
【ジルコニアクラウン(臼歯)】
1歯 ¥165,000×3歯=495,000(税込)
【総額】
¥1,408,000(税込)

※ガイドデント10年保証について

ガイドデントのインプラント保証は、治療後10年間、以下のようなトラブルが起きた場合に再治療費用を保証する制度です。
・インプラント体の破損
・上部構造(被せ物)のトラブル
・予期せぬ不具合による再治療
しかもこの保証は、医院が閉院・転院した場合でも全国の提携歯科医院で保証を継続できるという大きな特徴があります。


患者様にとってのメリット
10年間の長期保証で安心
第三者機関による客観的な保証
引っ越しや転勤があっても保証が継続
将来への不安を最小限に
インプラント治療は「入れて終わり」ではありません。
長く使い続けるからこそ、治療後の安心まで含めて治療の質だと当院は考えています。

TOP